В Энгельсе маленькая девочка проглотила острый шуруп

В Энгельсе маленькая девочка проглотила острый шуруп
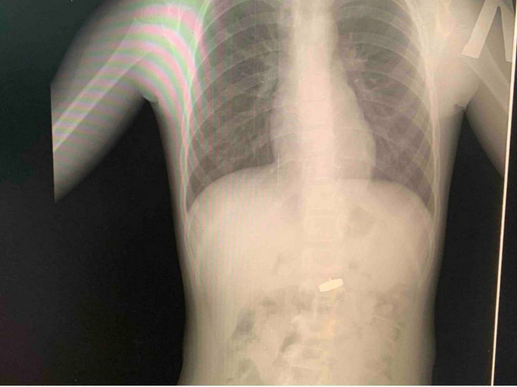
Фото: ЭГКБ №1

В Энгельсской городской клинической больнице №1 в Саратовской области врачам пришлось проводить экстренную операцию пятилетней девочке после того, как она проглотила магнит с прикрученным к нему острым шурупом. Родители обратились в медучреждение, когда у ребенка начались проблемы с пищеварением. После проведения рентгена врачи обнаружили в желудке маленькой пациентки инородное тело.

"Чтобы извлечь опасный предмет, девочке под общим наркозом была проведена эзофагогастродуоденоскопия – эндоскопическое исследование пищевода, желудка и двенадцатиперстной кишки", - сообщается в телеграм-канале клиники.

Всего данная операция у хирургов заняла около трех минут. В настоящее время жизни и здоровью ребенка ничто не угрожает. Она продолжает лечение и находится под наблюдением врачей. Родителям следует быть более внимательными и оберегать детей от опасных ситуаций.

Специалисты напоминают, что проглатывание инородных предметов может привести к серьезным осложнениям, таким как кровотечения, перфорация органов и даже летальный исход.

 

Что еще почитать

В регионах

Новости региона

Все новости

Новости

Самое читаемое

...
Сегодня
...
...
...
...
Ощущается как ...

Автовзгляд

Womanhit

Охотники.ру